استئصال القرص العنقي الأمامي ودمج الفقرات العنقية (ACDF) هو إجراء جراحي يستخدم لعلاج اضطرابات العمود الفقري العنقي ، بما في ذلك الانزلاق الغضروفي وتضيق العمود الفقري. يتضمن الإجراء إزالة جزء من القرص التالف أو العظم في الرقبة ودمج الفقرات المجاورة معًا لتثبيت العمود الفقري.
عادة ما يتم إجراء العملية تحت تأثير التخدير العام ، ويقوم الجراح بعمل شق صغير في مقدمة الرقبة. ثم يتم إزالة القرص أو العظم التالف ، مما يخفف الضغط على النخاع الشوكي أو جذور الأعصاب. ثم يتم ملء الفراغ الناتج عن إزالة القرص أو العظم بطُعم عظمي أو مادة اصطناعية ، مما يعزز الاندماج بين الفقرات المجاورة.
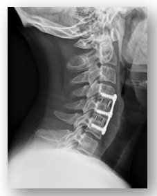
بعد إدخال التطعيم العظمي أو المادة الاصطناعية ، يمكن استخدام صفيحة معدنية أو مسامير لتثبيت الفقرات في مكانها أثناء شفاء الاندماج. تستغرق العملية عادةً حوالي ساعة إلى ساعتين ، ويمكن لمعظم المرضى العودة إلى المنزل في نفس اليوم أو في اليوم التالي.
غالبًا ما يُنصح باستخدام ACDF للمرضى الذين لم يستجيبوا للعلاجات غير الجراحية مثل العلاج الطبيعي أو الأدوية أو الراحة. لقد ثبت أن هذا الإجراء فعال للغاية في تقليل الألم وتحسين الحركة ونوعية الحياة للمرضى الذين يعانون من اضطرابات العمود الفقري العنقي.
كما هو الحال مع أي إجراء جراحي ، هناك مخاطر مرتبطة بـ ACDF. يمكن أن يشمل ذلك العدوى والنزيف وتلف الأعصاب ومشاكل البلع أو التنفس. ومع ذلك ، فإن هذه المخاطر نادرة ، ومعظم المرضى يختبرون نتائج ناجحة مع القليل من المضاعفات.
يختلف التعافي من ACDF باختلاف المريض ومدى الجراحة. بشكل عام ، سيحتاج المرضى إلى ارتداء دعامة أو طوق للرقبة لعدة أسابيع بعد الإجراء لدعم عملية الشفاء. قد يُنصح أيضًا بالعلاج الطبيعي لمساعدة المرضى على استعادة القوة والحركة في الرقبة.
في الختام ، فإن استئصال القرص العنقي الأمامي والدمج هو إجراء جراحي يستخدم لعلاج اضطرابات العمود الفقري العنقي. يتضمن الإجراء إزالة جزء من القرص التالف أو العظم في الرقبة ودمج الفقرات المجاورة معًا لتثبيت العمود الفقري. ACDF فعال للغاية في الحد من الألم وتحسين الحركة ونوعية الحياة للمرضى الذين يعانون من اضطرابات العمود الفقري العنقي ، ومعظم المرضى يعانون من نتائج ناجحة مع القليل من المضاعفات. إذا كنت تعانين من آلام في الرقبة أو أعراض أخرى لاضطراب العمود الفقري العنقي ، فتحدثي مع طبيبك لتحديد ما إذا كان ACDF هو خيار العلاج المناسب لك.
